Kesehatan

C-Arm: Teknologi Canggih untuk Meningkatkan Presisi Ope...

Teknologi medis terus berkembang, mempercepat dan meminimalisir rasa sakit dalam...

Kasus Covid-19 Meningkat di ASEAN, Dirjen Maxi Tekankan...

Kasus Covid-19 kembali melonjak di sejumlah negara di ASEAN, termasuk Indonesia,...

Peningkatan Kasus Covid-19 di Jakarta: Dua Lokasi Vaksi...

Kasus Covid-19 di Indonesia mengalami lonjakan hingga 40 persen, memicu peringat...

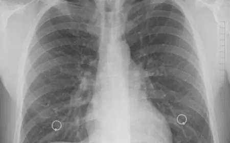
Gejala Mycoplasma Pneumoniae Menjadi Perhatian, Masyara...

Kasus infeksi Mycoplasma Pneumoniae kini semakin meluas di Indonesia dan mencuat...

Wabah Pneumonia Mycoplasma Muncul di China, Belanda, da...

Kementerian Kesehatan Indonesia telah menerima laporan adanya wabah pneumonia my...

Mycoplasma Pneumonia Meningkat di Beberapa Negara, Geja...

Belakangan ini, kasus mycoplasma pneumonia pada anak-anak mengalami peningkatan ...

Retinopati Diabetik: Ancaman Tersembunyi Bagi Penderita...

Para penderita diabetes harus berhati-hati terhadap retinopati diabetik, sebuah ...

Pengapuran Sendi Lutut: Mitos Operasi Penggantian Lutut...

Sendi lutut merupakan bagian vital tubuh yang rentan terkena osteoarthritis atau...

Nasi Shirataki Diklaim 0 Kalori dan Efektivitasnya dala...

Produk diet dengan klaim 0 kalori semakin populer, terutama nasi 0 kalori yang d...

Wabah Pneumonia Misterius di China, Penyebab dan Penceg...

China kembali menjadi sorotan berita internasional setelah muncul wabah penyakit...

Bunga Citra Lestari Berbagi Manfaat Olahraga Pilates un...

Bunga Citra Lestari (BCL) tidak hanya dikenal sebagai penyanyi dan aktris berbak...

WHO Minta Masyarakat China Patuhi Langkah Pencegahan Te...

Organisasi Kesehatan Dunia (WHO) telah mengeluarkan seruan kepada masyarakat di ...

Kanker Payudara: Menggali Variasi dan Identifikasi Jeni...

Tidak banyak yang menyadari bahwa kanker payudara bukanlah entitas tunggal, mela...

Velove Vexia, Duta Go Red for Women, Berbagi Tips Sehat...

Artis Velove Vexia telah ditunjuk sebagai Duta Go Red for Women oleh Yayasan Jan...